歯周病は気付かないうちに静かに進みます
まず、健康な歯周組織
→健康な歯茎はピンク色で引きしまっている。
Ⅰ期 歯肉炎
歯周ポケット3mm以内
歯周病菌の出す毒素などで歯茎に炎症がおこる。赤く腫れるが、見た目だけではわからないこともあります。
⭕️治療方法
歯の周りの歯垢や歯石を取り除き、毎日規則正く丁寧にブラッシングをおこなう。
Ⅱ期 軽度歯周病
歯周ポケット3mm以上〜5mm以内
歯周ポケットという溝ができ、歯垢や歯石が溜まる。歯茎から出血したり、膿が出ることもあります。歯槽骨が溶け始める時期。
⭕️治療法
歯周ポケットの歯石を取り除き、ブラッシングとマッサージを行う。
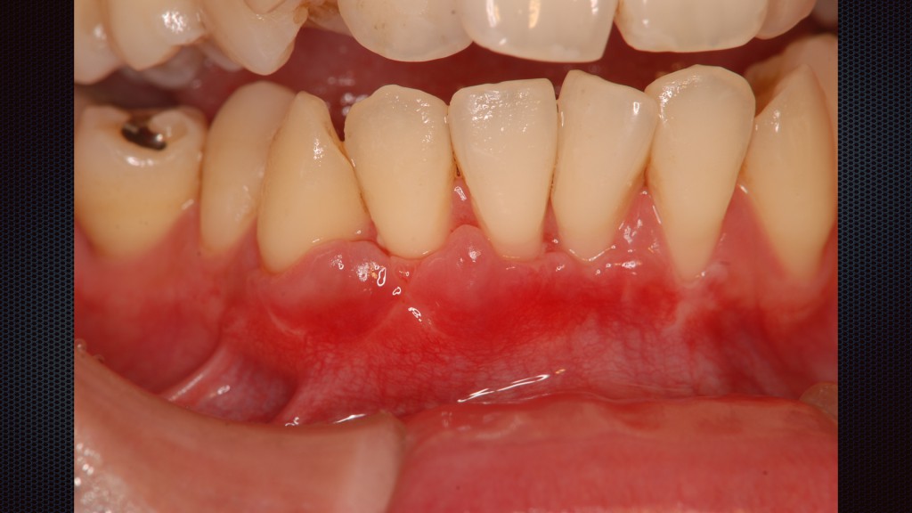
Ⅲ期 中等度歯周炎
歯周ポケット5mm以上〜7mm以内
炎症が奥まで進み、歯茎はブヨブヨした状態になり、血や膿が出て、口臭もひどくなる。
歯槽骨がかなり溶けて、歯がぐらついてくる。
⭕️治療法
ブラッシング、マッサージ、歯石の除去(局所麻酔下にて歯肉縁下スケーリング)と必要に応じて歯周外科手術を行う。
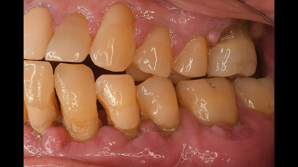
Ⅳ期 重度歯周炎
歯周ポケット7mm以上
歯周病の末期症状。歯槽骨がほとんどなくなって、歯根が露出する。ものを噛むことができず、歯が自然に脱落することもあります。
⭕️治療法
歯の保存は難しく、抜歯が必要になることが多い。
歯周病は気付かないうちに進行しますので、早めの検診をオススメします。





