初めて来院される方へ、初診の流れを詳細にお伝え致します。

まずは、お電話にてご予約下さい。
急患にも対応しております。(ご予約の患者さんが優先となりますので、極力事前にお電話いただけますと幸いです。)
お越しになりましたら、受付で保険証をご提示下さい。

問診書を記入していただき、現状のお口の状況、全身疾患の有無(既往歴など)など概略を把握させていただきます。

待合室から治療する診療チェアーにお通しいたします。

担当ドクターがご挨拶させていただきます。
記入していただいた問診票を元に、詳しく状況をお伺い致します。
気になること、心配なこと、不安なことなど何でもお気軽におっしゃって下さい。

主訴である歯の状態を診ます。
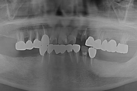
レントゲン室にご案内して、口腔内のレントゲン撮影を行います。
必要に応じてパノラマレントゲン撮影も行います。

お口の中を一通り拝見し、虫歯の有無、その他全体的に状態を把握致します。

患者さんへ視覚的に現在の状況をお伝えするため、口腔内を一眼レフで撮影致します。また、今後の治療でどのように見た目が改善されたかをご確認いただくためにも活用させていただきます。

歯周病の程度を知る上で大切な検査です。
どこまで歯周病が進行しているかを把握します。

患者さんが今いちばん気にされている部位を改善致します。
痛みがある場合などは、痛みをとってからお帰りいただくようにしています。

当院では患者様により良い治療を受けていただくために、治療前に検査を受けていただいております。
検査を受けていただくことで、患者様のお口の状態をできるだけに正確に把握し、より早く痛みの原因を取り去ることができますので、検査のご協力をお願い致します。
約3,000円〜3,500円
(検査内容:口腔内写真検査・レントゲンによる画像診査・歯周基本検査)

次回の治療のお約束のうえ、お帰り頂きます。お大事になさって下さい。