
30代 女性
前歯の歯茎が下がってきて気になるとのことで来院されました。
冷たい飲み物でしみて困っているようでした。
ブラッシング圧が強いのも1つの原因と考えられます。
治療方法としてコンポジットレジンでの修復も考えられますが、
患者様は審美的にも改善したいとの事で話し合いの結果、結合組織を移植し根面被覆を行うことにしました。
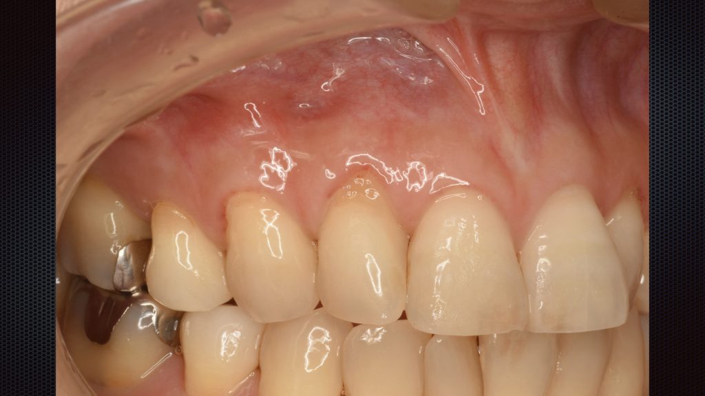
⬇︎術直後の口腔内写真です。

結合組織を歯肉で覆い被せるように縫合を行っています。

⇧上顎の口蓋歯肉より結合組織を採取します。その後、縫合した際の写真になります。
抜糸は1週間後ぐらいです。

⇧術前、術後の比較写真です。
術後、歯茎の退縮は目立ちにくくなり、審美的に改善しております。
また、冷たい飲み物にしみることなく患者様はとても満足していただけました。
前歯や奥歯の歯茎が退縮してお悩みの方はお気軽にご相談ください。

