自分ではちゃんと話しているつもりでも、聞き手から聞き返されたことはありませんか?これは、正しく発音できていないことが原因かもしれません。実は歯と発音には密接な関係があります。
例えば、歯を失い隙間ができ音が漏れてしまい発音が上手くできない場合があります。特にアカサタナのサ行、タ行、ラ行です。歯は噛むことはもちろん重要なものですが、発音にも関わってきます。
年齢を重ねることにつれ歯周病や虫歯で歯を失い、そのままで過ごしていると物が噛みにくくなると共に発音にも影響してきます。
⇧歯周病が進行して重度歯周炎に罹患しています。
噛むことは困難になりつつあるのと同時に発音も上手くできなくなってしまっています。失った歯が多くなり空気が抜けてしまっているのです。
治療の方法はまず歯茎の腫れを改善していきます。歯石の除去を行い、お口の中の環境を良くしていきます。
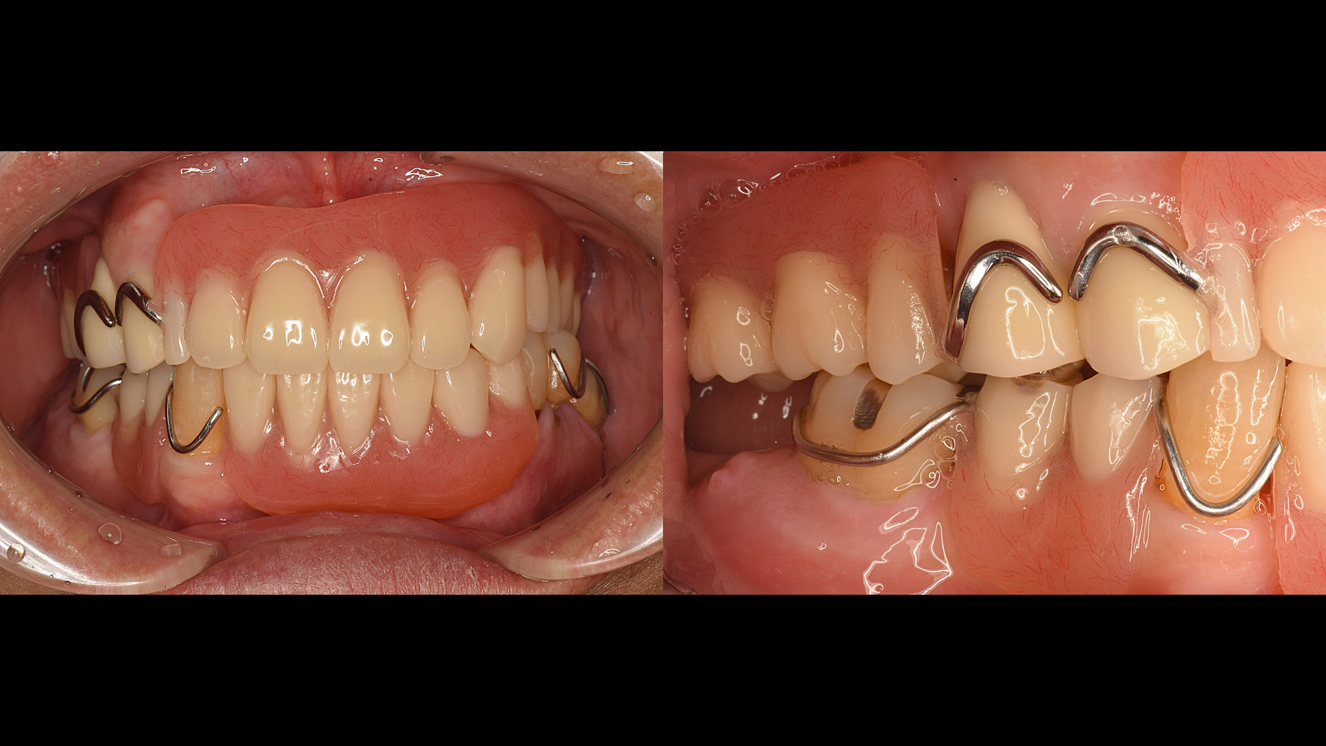
⇧残念ながら保存できない歯は抜歯となり、失った歯の代わりに入れ歯を作製し、噛める環境に回復しました。入れ歯は完全に発音を回復するというのは難しいですが患者さんは満足されています。
入れ歯は違和感があるとおっしゃる方は少なくはありません、しかし最初の状態で生活していると健康な隣の歯まで歯周病で犯されてしまいます。その前に治療をすることが大切になります。
また、歯を失うことで思いっきり笑うことができなくなると思います。やはり恥ずかしい、見られたくないという方がほとんどです。笑うことは健康に良いと言われています。笑うといつもよりも深く呼吸することになり、たくさん酸素が取り入れられ血液の循環を良くします。全身に酸素や栄養が運ばれ免疫力も上がるといわれています。
いつまでも元気に笑える生活を送るにも歯の健康を守りましょう。



